How a Smile Makeover Can Boost Your Confidence

Your smile is one of the first things people notice. A confident, healthy smile can enhance your appearance, improve self-esteem, and positively influence how others perceive you. However, concerns such as chipped, stained, uneven, or misaligned teeth can make many people feel self-conscious about smiling.

A smile makeover through cosmetic dentistry offers a personalised approach to improving the appearance of your teeth while also supporting better oral health. By combining advanced dental treatments, a smile makeover can help restore confidence and create a natural, balanced smile.

In this guide, we explain what a smile makeover is, the cosmetic dental treatments involved, the results you can expect, and how to schedule a professional smile makeover consultation.

What Is a Smile Makeover?

A smile makeover is a personalised cosmetic dentistry treatment plan designed to enhance the overall appearance of your teeth and smile. By combining several cosmetic dental procedures, a smile makeover addresses multiple aesthetic concerns while also supporting better oral health and function.

A smile makeover may help improve a range of common dental concerns, including:

  • Discoloured or stained teeth

  • Chipped, cracked, or worn teeth

  • Gaps between teeth

  • Misaligned or crooked teeth

  • Uneven or irregularly shaped teeth

Through a combination of advanced cosmetic dentistry treatments, your dentist can design a treatment plan tailored to your individual needs and smile goals. The result is a natural-looking, balanced, and confident smile that complements your facial features and enhances your overall appearance.

Smile Makeover Treatment Plan

A smile makeover treatment plan is tailored to each patient’s unique dental needs and aesthetic goals. Depending on the condition of your teeth and the results you wish to achieve, your dentist may recommend a combination of cosmetic and restorative dental treatments to enhance the appearance of your smile.

Common treatments included in a smile makeover may include:

  • Teeth Whitening – A professional cosmetic treatment that removes stains and discolouration, helping to brighten your teeth and create a more radiant smile.

  • Dental Veneers – Thin, custom-made porcelain shells placed over the front surface of the teeth to improve shape, size, colour, and overall appearance.

  • Composite Bonding – A minimally invasive cosmetic procedure used to repair chips, cracks, and small gaps, restoring the natural look of the teeth.

  • Invisalign or Orthodontic Braces – Orthodontic treatments designed to straighten misaligned or crooked teeth, improving both the appearance and alignment of your smile.

  • Dental Implants or Dental Bridges – Restorative treatments used to replace missing teeth, helping to restore a complete and balanced smile.

Each treatment within a smile makeover plan is carefully selected based on your oral health, aesthetic goals, and desired results, ensuring a personalised approach that enhances both your smile and your overall confidence

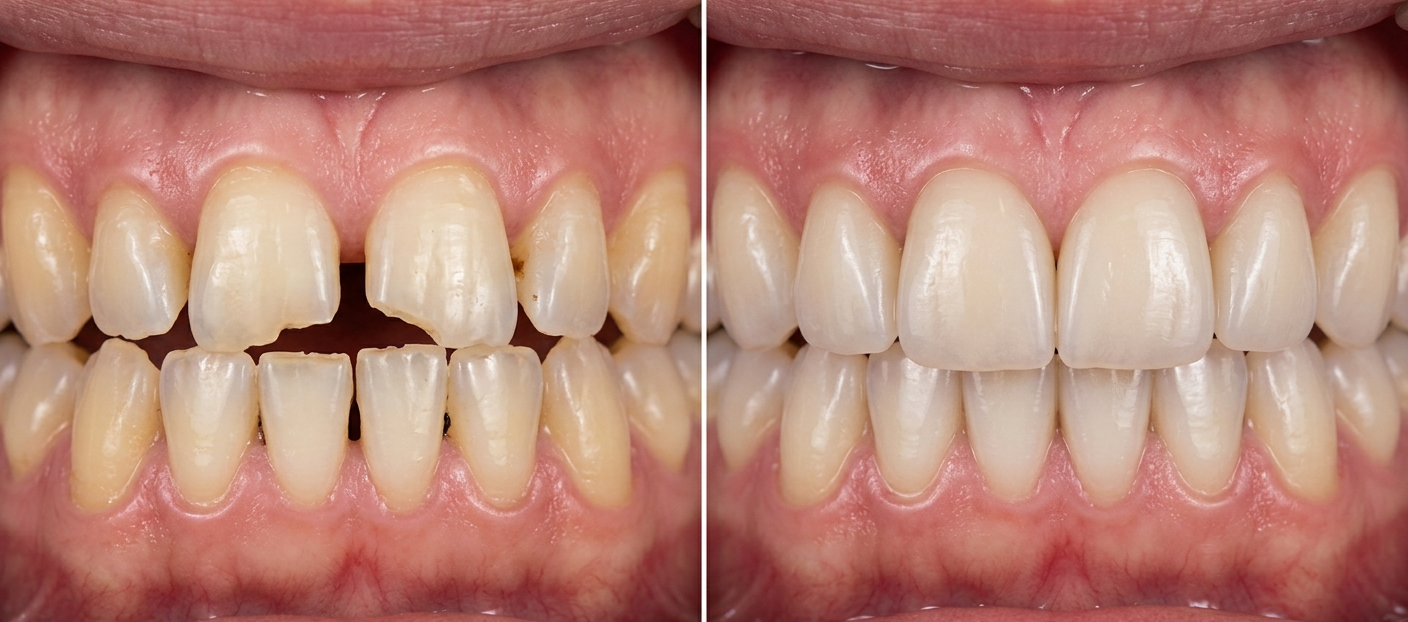
Smile Makeover Before and After Results

Patients who undergo a smile makeover often experience significant improvements in both the appearance of their smile and their overall confidence. By combining personalised cosmetic dentistry treatments, a smile makeover can dramatically enhance the look, balance, and function of the teeth.

Typical results of a smile makeover may include:

  • Whiter, brighter teeth through professional teeth whitening treatments

  • Improved alignment and reduced gaps between teeth

  • Enhanced symmetry and proportion for a more balanced smile

  • Improved overall oral health through corrective and restorative treatments

Before and after smile makeover results clearly demonstrate the transformative impact of personalised cosmetic dental care. Viewing these results can help patients understand the potential outcomes of treatment and visualise how a customised smile makeover can enhance their smile and confidence.

Smile Makeover Consultation: The First Step Towards Your New Smile

After understanding the treatments involved and the potential results of a smile makeover, the next step is to schedule a professional cosmetic dentistry consultation. This appointment allows your dentist to assess your oral health and design a treatment plan tailored to your unique smile goals.

During your smile makeover consultation, your dentist will typically:

  1. Evaluate your teeth, gums, and bite to assess your overall dental health

  2. Discuss your aesthetic goals and concerns, including issues such as tooth colour, alignment, or gaps

  3. Recommend personalised cosmetic dentistry treatments suited to your needs

  4. Create a detailed treatment plan and timeline outlining the procedures required to achieve your desired results

A professional consultation ensures that your smile makeover treatment plan is fully customised, providing safe, effective, and natural-looking results. By combining advanced cosmetic dental treatments with a personalised approach, your dentist can help you achieve a healthier, more confident smile.

Boost Your Confidence with a Smile Makeover

A smile makeover offers more than cosmetic improvements—it can significantly enhance both your confidence and overall oral health. By addressing multiple dental concerns at once, a personalised smile makeover helps create a healthier, more balanced, and natural-looking smile.

Modern cosmetic dentistry treatments are designed to improve the appearance and function of your teeth while supporting long-term dental health. Patients often choose a smile makeover to address issues such as tooth discolouration, gaps between teeth, uneven tooth shape, or misalignment.

Whether you are looking for whiter teeth, improved tooth alignment, or a complete smile transformation, today’s advanced cosmetic dentistry solutions can be tailored to meet your individual goals. With a customised treatment plan, a smile makeover can help you achieve a brighter, more confident smile that enhances both your appearance and self-esteem.

Frequently Asked Questions (FAQs)

  • Patients who have cosmetic concerns such as tooth discolouration, misaligned teeth, worn enamel, gaps, or chipped teeth are often good candidates for a smile makeover. During your consultation, your dentist will first assess your overall oral health, including the condition of your teeth and gums, to determine whether cosmetic dentistry treatments are suitable for you.

  • The duration of a smile makeover treatment plan depends on the complexity of the procedures involved. Some cosmetic treatments, such as professional teeth whitening or composite bonding, may be completed within a few weeks. More comprehensive treatments, including orthodontic alignment or multiple restorations, may take several months to achieve the desired results.

  • Most cosmetic dentistry procedures used in smile makeovers are minimally invasive and designed to ensure patient comfort. Local anaesthesia is typically used during treatment, and sedation options may also be available for patients who feel anxious about dental procedures.

  • The cost of a smile makeover can vary depending on the combination of treatments required, such as teeth whitening, dental veneers, orthodontics, or restorative procedures. During your consultation, your dentist will provide a personalised treatment plan and cost estimate, along with information about available payment or financing options.

  • Yes. While smile makeovers focus on improving the appearance of your smile, many treatments also contribute to better oral health and function. Procedures such as repairing damaged teeth, correcting alignment issues, or replacing missing teeth can improve chewing function and help prevent further dental problems.

  • Maintaining your results requires consistent oral hygiene and regular dental care. To keep your smile looking its best:

    • Brush and floss daily to maintain healthy teeth and gums

    • Attend regular dental check-ups and hygienist cleanings

    • Avoid habits that can stain or damage teeth

    With proper care and professional maintenance, the results of your cosmetic dentistry treatment can last for many years.

Book Your Smile Makeover Consultation Today

Take the first step towards a brighter, more confident smile. If you are considering a smile makeover, scheduling a professional consultation is the best way to explore the cosmetic dentistry treatments available to enhance your smile.

During your consultation, our experienced dental team will assess your oral health, discuss your aesthetic goals, and design a personalised smile makeover treatment plan tailored to your needs. Whether you are looking to whiten your teeth, correct gaps or alignment issues, or achieve a complete smile transformation, we are here to help you achieve natural-looking, long-lasting results.

In addition to cosmetic dentistry, our team also provides professional dental check-ups, hygienist cleanings, and preventive dental care to support strong teeth and healthy gums.

Book your smile makeover consultation today and take the first step towards a healthy, confident smile that lasts for years to come.

Previous
Previous

How to Overcome Dental Anxiety

Next
Next

Dental Care Tips for Children